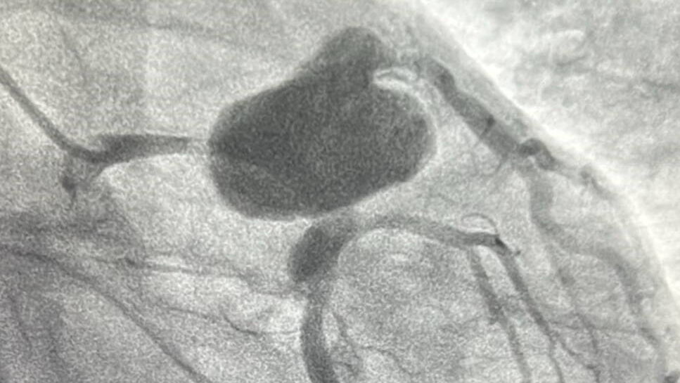
El Hospital público Universitario de Torrejón, perteneciente a la red pública de la Comunidad de Madrid, ha intervenido con éxito a un varón joven con un aneurisma coronario gigante de casi 10 centímetros, una dilatación anormal de una arteria del corazón que, por su tamaño, comprimía las propias arterias coronarias, que son los vasos que llevan la sangre al corazón, y le provocaba angina (dolor en el pecho), poniendo, por su peligrosa localización, potencialmente en riesgo su vida.
Tras un exhaustivo estudio multidisciplinar coordinado desde el Instituto Cardiovascular del Hospital -que permitió, además, diagnosticar y tratar una patología inflamatoria asociada-, el equipo ha llevado a cabo por primera vez en el hospital una intervención coronaria híbrida.
El procedimiento ha sido liderado por el jefe de servicio de Cardiología, el Dr. Iván Núñez Gil, que se encargó de coordinar las unidades de Hemodinámica y Cirugía Cardiaca, las cuales han combinado dos técnicas avanzadas para resolver un caso de anatomía excepcionalmente compleja.

Por un lado, se encontraba la cirugía de bypass aortocoronario sin circulación extracorpórea (CEC) con dos injertos arteriales, para garantizar un flujo sanguíneo seguro al corazón. La cirugía coronaria sin CEC es un procedimiento quirúrgico que requiere una alta especialización técnica y que se realiza en menos de un tercio de los hospitales españoles.
Por otro lado, se trató la exclusión del aneurisma mediante un stent cubierto (graft) de alta especialización, sellando la dilatación gigante que afectaba al tronco de la coronaria izquierda y a sus principales ramas: descendente anterior, bisectriz (ramus) y circunfleja. Tras la operación, el paciente ha evolucionado favorablemente y ya se encuentra en su domicilio.

Según el Dr. Núñez Gil, la coordinación entre especialidades ha sido clave: “Ni los cirujanos ni los hemodinamistas podrían haber tratado de manera aislada el aneurisma de forma segura para el paciente. Tenemos la suerte de contar con un equipo de profesionales de distintas especialidades que trabajan en equipo y ofrecen terapias híbridas con las que podemos llegar a tratar pacientes que no pueden ser tratados en otros lugares o hacerlo de manera más eficiente y segura para los enfermos. Es un hito para nuestro Instituto Cardiovascular.”
¿Qué es un aneurisma coronario gigante?
Un aneurisma coronario es una “bolsa” o dilatación que se forma en una arteria del corazón. Aunque las coronarias miden solo unos milímetros de diámetro, en este caso la dilatación alcanzó casi 10 centímetros.
Un aneurisma tan grande puede presionar estructuras vecinas y dificultar el paso de la sangre, causando dolor en el pecho, arritmias o incluso complicaciones graves si se rompe o se trombosa.
Este logro refleja el modelo integrado del Instituto Cardiovascular del Hospital Universitario de Torrejón, que reúne a Cardiología, Cirugía Cardíaca y otras áreas clínicas como la UCI cardiovascular o Cirugía Vascular, para ofrecer soluciones avanzadas a problemas de alta complejidad, con tecnología de vanguardia, experiencia y una planificación conjunta que prioriza la seguridad del paciente.
a través de este enlace